Ретенционные кисты: новый подход в лечении
Журнал: Вестник оториноларингологии. 2019;84(3): 22‑25
Прочитано: 4534 раза
Как цитировать:
Широкое использование в медицинской практике компьютерной томографии (КТ) и популяризация дентальной имплантации привели к увеличению числа случайно обнаруженных кист верхнечелюстной пазухи (КВЧП) [1]. По данным литературы, распространенность КВЧП среди населения в целом варьирует от 1,6—7,4% [2, 3] до 3,2—35,6% [1, 4, 5]. По данным НИКИО им. Л.И. Свержевского за 2017 г., на долю хронического кистозного верхнечелюстного синусита пришлось 30% от общего числа больных, госпитализированных по поводу хронического синусита.
Считают, что большинство КВЧП, как правило, не изменяются в течение периода наблюдения, кроме того, при данном заболевании в 17,6—38% случаев отмечается спонтанная частичная регрессия кисты, следовательно, большинству пациентов лечение не требуется [1]. Тем не менее недавние исследования показали связь между КВЧП и такими симптомами, как заложенность носа, головная боль, лицевая боль в области пазухи, выделения из носа и постназальный синдром.
Кистозный гайморит — это та форма хронического синусита, при которой хирургическое лечение является основным. На сегодняшний день большинство ЛОР-хирургов [1] склоняются к мнению, что показаниями к хирургическому лечению КВЧП являются следующие: наличие клинической симптоматики, размеры кисты более >20 мм или двусторонние кисты, так как именно у таких кист высок риск прогрессирования. На практике к ЛОР-хирургу часто направляют пациентов, которым выполнено рентгенологическое исследование по поводу острого респираторного заболевания или перед проведением дентальной имплантации.
В настоящее время удаление КВЧП осуществляют следующими методами: эндоназальная эндоскопическая гайморотомия в области естественного соустья и через нижний носовой ход; микрогайморотомия через переднюю стенку верхнечелюстной пазухи.
Эндоназальная эндоскопическая гайморотомия через область среднего носового хода подразумевает полное или частичное удаление крючковидного отростка, который является важной структурой остиомеатального комплекса (ОМК). Такое вмешательство может приводить к нарушению функции крючковидного отростка, это в свою очередь нарушает нормальные (при неосложненных кистах) вентиляцию и дренирование околоносовых пазух (ОНП) [5, 6].
Эндоназальная эндоскопическая гайморотомия через нижний носовой ход менее популярна, хотя и является менее травматичной, так как не приводит к ятрогенному повреждению структур ОМК [7—9].
Микрогайморотомия через переднюю стенку верхнечелюстной пазухи в настоящее время является одной из самых частых операций в челюстно-лицевой хирургии и оториноларингологии. Хотя само по себе вмешательство достаточно безопасно, оно, как правило, плохо воспринимается пациентами и является травматичной манипуляцией.
Таким образом, все существующие методы хирургии КВЧП являются достаточно инвазивными, что заставляет продолжать поиск действительно малотравматичного и эффективного хирургического метода лечения данной патологии, особенно при кистах небольших размеров.
В связи с этим мы поставили перед собой цель разработать эффективный малоинвазивный способ удаления КВЧП.
В 2017—2018 гг. под нашим наблюдением находились 35 больных в возрасте от 20 до 39 лет (19 женщин, 16 мужчин) с диагнозом КВЧП. Диагноз КВЧП устанавливали стандартно — на основании общеклинического, лучевого (КТ) и эндоскопических методов исследования.
В исследование были включены больные, у которых по данным КТ была диагностирована КВЧП, располагающаяся на нижней стенке и занимающая не более 2/3 ее объема. У всех обследуемых были выявлены ретенционные кисты. Данный вид кист образуется вследствие нарушения проходимости серомукозных желез слизистой оболочки носа. Как правило, тонкая оболочка кисты выстлана цилиндрическим эпителием, эпителий слизистой оболочки пролабирует в полость синуса из-за продолжающегося продуцирования секрета железой [10—12].
Нами разработан малоинвазивный метод удаления таких кист с использованием лазерной техники, основанный на особенностях их строения. Данный метод основан на том, что благодаря своим характеристикам гольмиевое лазерное излучение способно вызывать в жидкости явление кавитации. За счет высокочастотного импульсного излучения в жидкости создаются ударные волны, которые приводят к «взрывному» разрыву оболочки кисты.
Методика операции была следующей: в типичном месте в нижнем носовом ходу одномоментно проводили две пункции пазухи — с помощью иглы Куликовского и с помощью троакара 2,8 мм.
Волокно Но-лазера вводили в иглу Куликовского, параллельно в троакар вводили 0, 30 или 45° эндоскоп (рис. 1). 
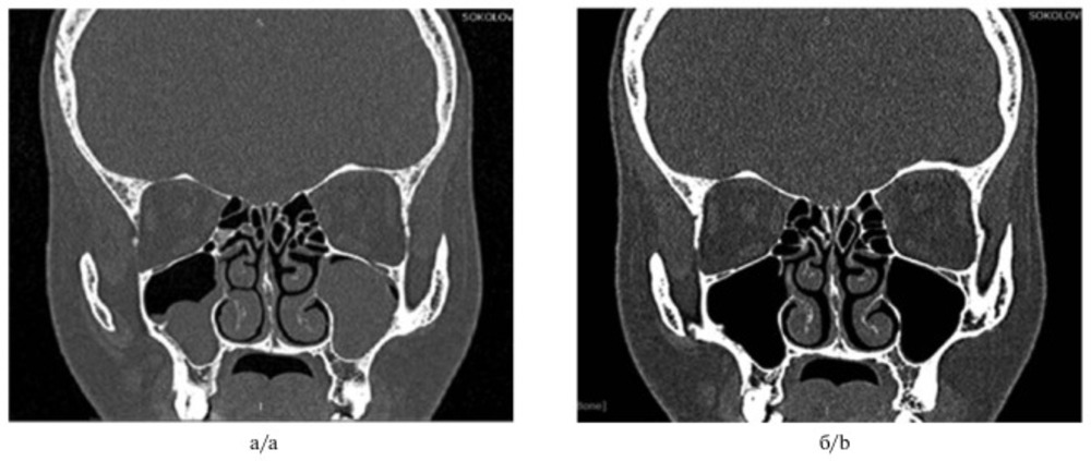
Период отдаленного наблюдения на сегодняшний день составляет от 4 до 14 мес. Все пациенты были выписаны из стационара на 2-е сутки. По данным КТ ОНП (рис. 2) 
Разработанный малоинвазивный метод удаления КВЧП с помощью высокоэнергетического гольмиевого лазера под контролем эндоскопа показал свою эффективность и безопасность. Данная методика позволяет не только полностью удалить оболочку кисты с помощью высокоэнергетического лазера, но и значительно уменьшить хирургическую травму, так как выполняется без разрезов и повреждений функционально значимых анатомических областей.
Авторы заявляют об отсутствии конфликта интересов.
The authors declare no conflicts of interest.
Сведения об авторах
Крюков А.И. — д.м.н., профессор, врач-оториноларинголог, заслуженный деятель науки, директор ГБУЗ «Научно-исследовательский клинический институт оториноларингологии им. Л.И. Свержевского» ДЗМ; e-mail: nikio@zdrav.mos.ru; https://orcid.org/0000-0002-0149-0676
Туровский А.Б. — д.м.н., врач-оториноларинголог, заместитель директора по медицинской части ГБУЗ «Научно-исследовательский клинический институт оториноларингологии им. Л.И. Свержевского» ДЗМ; e-mail: an_tur@mail.ru; https://orcid.org/0000-0002-5235-7584
Колбанова И.Г. — к.м.н., врач-оториноларинголог, старший научный сотрудник отдела патологии верхних дыхательных путей и ринофациальной эстетической хирургии ГБУЗ «Научно-исследовательский клинический институт оториноларингологии им. Л.И. Свержевского» ДЗМ; e-mail: kolbines@yendex.ru; https://orcid.org/0000-0002-5159-3630
Мусаев Камран Мазахир оглы — аспирант отдела патологии верхних дыхательных путей и ринофациальной эстетической хирургии ГБУЗ «Научно-исследовательский клинический институт оториноларингологии им. Л.И. Свержевского» ДЗМ; e-mail: qeniusk.m@gmail.com; https://orcid.org/0000-0003-2761-0717
Алексанян Т.А. — к.м.н., врач-оториноларинголог, пластический хирург; e-mail: doctigran@mail.ru; https://orcid.org/0000-0002-9164-6282
Лучшева Ю.В. — к.м.н., ведущий научный сотрудник отдела микрохирургии гортани и фониатрии «Научно-исследовательский клинический институт оториноларингологии им. Л.И. Свержевского» ДЗМ; e-mail: jluchsheva@mail.ru; https://orcid.org/0000-0002-8412-710X
Как цитировать:
Крюков А.И., Туровский А.Б., Колбанова И.Г., Мусаев К.М., Алексанян Т.А., Лучшева Ю.В. Ретенционные кисты: новый подход в лечении. Вестник оториноларингологии. 2019;84(3):22-25. https://doi.org/10.17116/otorino201984031
Подтверждение e-mail
На test@yandex.ru отправлено письмо со ссылкой для подтверждения e-mail. Перейдите по ссылке из письма, чтобы завершить регистрацию на сайте.
Подтверждение e-mail
Мы используем файлы cооkies для улучшения работы сайта. Оставаясь на нашем сайте, вы соглашаетесь с условиями использования файлов cооkies. Чтобы ознакомиться с нашими Положениями о конфиденциальности и об использовании файлов cookie, нажмите здесь.